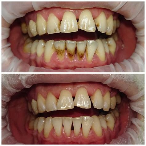
7 Proven Methods to Remove Black Tartar Effectively
Infohealth.eu.org Selamat datang semoga kalian mendapatkan manfaat. Di Sesi Ini aku mau menjelaskan Dental Health, Dental Care, Oral Hygiene, Health Tips, General Health yang banyak dicari orang. Artikel Dengan Fokus Pada Dental Health, Dental Care, Oral Hygiene, Health Tips, General Health 7 Proven Methods to Remove Black Tartar Effectively Jangan berhenti di sini lanjutkan sampe akhir.
- 1.1. seven proven methods to remove black tartar effectively
- 2.
Understanding Tartar and Its Causes
- 3.
Regular Brushing and Flossing
- 4.
Use of Tartar-Control Toothpaste
- 5.
Regular Dental Checkups
- 6.
Dietary Changes for Teeth Health
- 7.
Using Mouthwash for Oral Care
- 8.
Home Remedies to Combat Tartar
- 9.
Limit Staining Foods and Drinks
- 10.
Akhir Kata
Table of Contents
Removing black tartar from your teeth can be a daunting task. However, with the right approach and techniques, you can effectively manage it. Tartar buildup not only affects your smile; it can also lead to various oral health issues. Knowing the correct methods to eliminate this problem is crucial for maintaining a healthy mouth.
Many people don't realize how significant proper oral hygiene is in preventing tartar buildup. Tartar, which is essentially calcified plaque, can form if you don't brush and floss regularly. The good news is that there are several methods you can adopt to remove this unwanted substance.
In this article, we’ll discuss seven proven methods to remove black tartar effectively. Each method is simple and can be incorporated into your daily routine. Let’s get started!
Understanding Tartar and Its Causes
Tartar forms when plaque, a sticky film of bacteria, is not removed from your teeth in a timely manner. It hardens and turns into a hard deposit that can only be removed by a dental professional. Factors contributing to tartar buildup include poor oral hygiene, smoking, and a diet high in sugar. By understanding these causes, you can take specific actions to counteract them.
Regular Brushing and Flossing
One of the simplest yet most effective methods to prevent black tartar is regular brushing and flossing. You should brush your teeth at least twice a day. Use a fluoride toothpaste to help combat tartar. Flossing daily cleans between the teeth, removing the plaque that brushes may not reach.
To make the most of brushing:
- Choose the right toothbrush—an electric or soft-bristled one can be beneficial.
- Brush for at least two minutes, paying attention to all teeth surfaces.
- Don’t forget to brush your tongue to eliminate bacteria.
Regular dental care is key in preventing tartar buildup.
Use of Tartar-Control Toothpaste
Many brands provide tartar-control toothpaste designed specifically to prevent this buildup. These toothpastes contain additional ingredients that help break down tartar before it hardens.
When choosing toothpaste:
- Look for the ADA seal of approval.
- Opt for products containing pyrophosphates or zinc citrate, which can prevent tartar formation.
Always check the label when buying toothpaste for optimal results.
Regular Dental Checkups
Among the most effective methods is regular visits to your dentist. Professional cleanings can remove tartar buildup that home care cannot eliminate. These visits allow your dentist to give tailored advice on maintaining oral health.
For best results, aim for:
- Twice-a-year dental checkups.
- Discuss any concerns about tartar or other oral hygiene issues.
Professional cleaning is essential for keeping tartar at bay.
Dietary Changes for Teeth Health
A healthy diet plays a crucial role in oral health. By making dietary changes, you can reduce tartar buildup. Foods rich in vitamin C can help strengthen gums and reduce plaque.
Here are some foods that are beneficial:
- Fruits and vegetables, especially crunchy ones like apples and carrots.
- Dairy products that contain calcium.
- Green tea, known for its antioxidant properties.
Your diet impacts not only your overall health but also your oral health.
Using Mouthwash for Oral Care
An effective mouthwash can help reduce plaque and tartar buildup. Rinse with an antibacterial mouthwash to help keep your mouth clean and fresh.
When choosing mouthwash:
- Look for those that specifically mention tartar control.
- Ensure it contains fluoride for extra protection.
Mouthwash should complement, not replace, brushing and flossing.
Home Remedies to Combat Tartar
There are several home remedies you can try to help remove black tartar. While these methods may not be as effective as professional treatments, they can still offer some benefit.
Some popular home remedies include:
- Baking soda—its alkaline properties can neutralize acids in the mouth.
- White vinegar—mixed with water, can help remove tartar buildup.
- Hydrogen peroxide—used as a mouth rinse can disinfect and whiten teeth.
Home remedies can assist but should not replace dental care.
Limit Staining Foods and Drinks
Staining foods and drinks can lead to tartar buildup. Coffee, tea, and red wine are among the primary culprits that can lead to discoloration and plaque accumulation. Moderation is key.
To minimize staining:
- Use a straw when drinking beverages that cause stains.
- Rinse your mouth with water after consuming such items.
Choosing when to indulge can go a long way in maintaining a bright smile.
Akhir Kata
Removing black tartar effectively involves a combination of professional dental care and diligent oral hygiene practices. By adopting these proven methods, you can maintain a healthy mouth and prevent the unwanted buildup of tartar. Remember, your smile is an important part of your identity; taking care of it should be a top priority.
So, take charge of your oral health today and follow these guidelines to keep your teeth and gums in the best shape possible!
Terima kasih telah menyimak 7 proven methods to remove black tartar effectively dalam dental health, dental care, oral hygiene, health tips, general health ini sampai akhir Saya harap Anda menemukan value dalam artikel ini tingkatkan keterampilan komunikasi dan perhatikan kesehatan sosial. Ayo ajak orang lain untuk membaca postingan ini. Sampai bertemu lagi
✦ Tanya AI
Saat ini AI kami sedang memiliki traffic tinggi silahkan coba beberapa saat lagi.